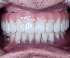
디지털 풀아치 임플란트(상악) (73세 남성)
2023. 10. 23 수술전 인터뷰 "어떻게 디지털 풀아치 임플란트를 알고 오셨나요?"
2023. 10. 23 수술전 인터뷰 "틀니 사용으로 어떤 어려움을 겪고 계셨나요?"
2023. 10. 23 수술전 김은자 대표원장님의 자세한 설명
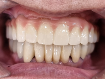
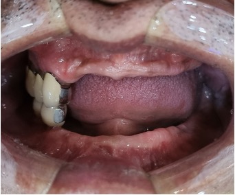
디지털 풀아치 임플란트(상악) & 전체 임플란트(하악) (64세 여성)
⌚ 진료 시간
🚌 대중교통 안내
시청역 6,7번 출구(에스컬레이터 6번 출구)로 올라오신 후 직진으로 조금만 걸으시면(200미터) 신한은행 건물 3층에 치과가 있습니다.
🚘 주차 안내
- 소형 승용차량(아반떼)은 건물 내 2시간 무료 주차할 수 있습니다.
- SUV, 수입차 및 중대형 차량은 형성주차장에 주차하시고 입차권을 데스크에 제출해주세요. (진료시간 내 주차요금 무료)
📍 주소 및 오시는길
대전 시청역 크로바네거리
신한은행 건물 3층
☎️ 대표전화
042-477-8228
Tel. 042-477-8228 | Fax. 042-487-8228 | bi_dent@naver.com144, Dunsan-ro, Seo-gu, Daejeon, Republic of Korea Biz License 719-33-01227
Copyright ⓒ 2025 바른이치치과 둔산점 All rights reserved.